CASO NUMERO 1: GIOVANE PAZIENTE SENZA INCISIVI SUPERIORI (EDENTULIA PARZIALE)
La paziente era portatrice di apparecchio mobile (protesi mobile) da anni, risolto con implantologia. La paziente tornerà ad avere un sorriso disinvolto e mangiare bene, come se avesse i denti naturale, senza la paura che la protesi si sganci nei momenti più inopportuni.
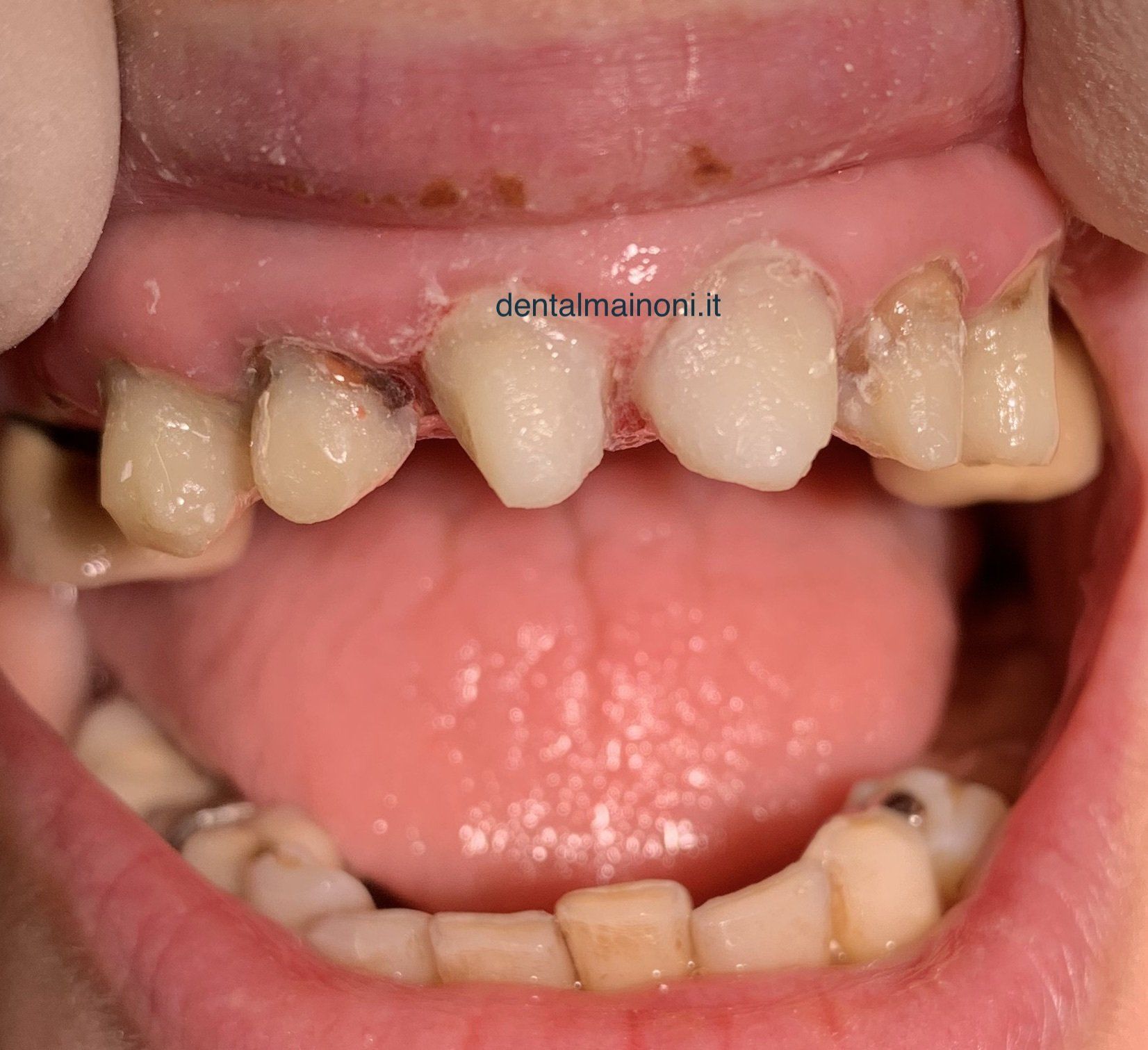
CASO NUMERO 2: UN'EMERGENZA DENTALE SUI DENTI SUPERIORI
Una paziente si presenta alla nostra osservazione dopo un
grave trauma funzionale ed estetico dopo un incidente stradale...
-
UN'EMERGENZA DENTALE / FOTO 1
ButtonUna paziente si presenta alla nostra osservazione dopo un grave trauma funzionale ed estetetico per un incidente stradale.
-
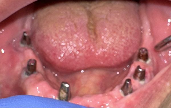
UN'EMERGENZA DENTALE / FOTO 2
ButtonLo scopo principale del trattamento è quello di ricostruire i monconi per poter realizzare immediatamente un ponte fisso, poiché la paziente non accetta una protesi mobile.
-
UN'EMERGENZA DENTALE / FOTO 3
ButtonSi procede alla ricostruzione dei monconi con perni in fibra e composito, dopo controllo con radiografia della correttezza delle devitalizzazioni delle radici.
-
UN'EMERGENZA DENTALE / FOTO 4
ButtonMonconi grezzi ricostruiti con tecnica indiretta. Verranno perfezionati successivamente, al momento lo scopo è quello di garantire un'estetica decorosa alla paziente.













